Linda Yaccarino named new Twitter CEO
Musk said Twitter's new CEO “will focus primarily on business operations, while I focus on product design & new technology.”
Musk said Twitter's new CEO “will focus primarily on business operations, while I focus on product design & new technology.”
Google is adding AI to search engines: Here's how it will work
People in the U.S. can join a waitlist to test how Google will incorporate AI into its search engine.
People in the U.S. can join a waitlist to test how Google will incorporate AI into its search engine.
Spotify removes AI-generated songs from platform
Spotify says it has removed AI-generated music made by Boomy, which helps users create songs with artificial intelligence and post them on music streaming services like Apple Music and Spotify.
Spotify says it has removed AI-generated music made by Boomy, which helps users create songs with artificial intelligence and post them on music streaming services like Apple Music and Spotify.
'Dumb phones' on the rise in US as young people look to unplug
Nokia phone maker HMD Global said the market share of flip phones “globally doubled" during 2022 compared to 2021 and is expected to continue growing in 2023.
Nokia phone maker HMD Global said the market share of flip phones “globally doubled" during 2022 compared to 2021 and is expected to continue growing in 2023.
Wendy's adding Google Cloud AI tech to drive-thru ordering as part of test
Some customers hitting the Wendy’s drive-thru will soon see a new artificial intelligence (AI) technology as they do so.
Some customers hitting the Wendy’s drive-thru will soon see a new artificial intelligence (AI) technology as they do so.
Musk says inactive Twitter accounts getting purged
Elon Musk, who has helmed Twitter since his takeover of the social media company in late October, said the purge will affect accounts "that have had no activity at all for several years." He announced the move Monday.
Elon Musk, who has helmed Twitter since his takeover of the social media company in late October, said the purge will affect accounts "that have had no activity at all for several years." He announced the move Monday.
Tech industry layoffs: LinkedIn cuts 716 jobs, shuts down China app
Professional networking platform LinkedIn says it’s laying off more than 700 workers and shuttering its China jobs app, in the latest round of tech industry downsizing.
Professional networking platform LinkedIn says it’s laying off more than 700 workers and shuttering its China jobs app, in the latest round of tech industry downsizing.
Jeffrey Epstein-related suit: Virgin Islands says it can’t find Google co-founder Larry Page
The U.S. Virgin Islands government says it's unable to locate Google co-founder Larry Page to serve him a subpoena in an ongoing lawsuit against JPMorgan Chase for allegedly enabling Jeffrey Epstein’s sex trafficking ring, a new federal filing revealed.
The U.S. Virgin Islands government says it's unable to locate Google co-founder Larry Page to serve him a subpoena in an ongoing lawsuit against JPMorgan Chase for allegedly enabling Jeffrey Epstein’s sex trafficking ring, a new federal filing revealed.
Congress considers new rules for tech regulation of social media
Tech regulation is gathering momentum on Capitol Hill as concerns rise about China’s ownership of TikTok, and parents are more worried about what their kids are viewing online.
Tech regulation is gathering momentum on Capitol Hill as concerns rise about China’s ownership of TikTok, and parents are more worried about what their kids are viewing online.
Twitter's new blue check rules expose election offices to spoof accounts
Election administrators across the US are struggling to figure out how to respond after Elon Musk threw Twitter's verification service into disarray.
Election administrators across the US are struggling to figure out how to respond after Elon Musk threw Twitter's verification service into disarray.
Google launches no-password log in feature
The passkey feature gives users a new option over a password or two-step verification.
The passkey feature gives users a new option over a password or two-step verification.
AI life hacks: How travelers are using ChatGPT to plan trips on a budget
A TikToker mapped out a two-week trip to Europe with the generative AI tool, but others urge caution.
A TikToker mapped out a two-week trip to Europe with the generative AI tool, but others urge caution.
AI-powered cruise control can stop 'phantom traffic jams' before they start
Software predicts the perfect speed to keep from having to stop.
Software predicts the perfect speed to keep from having to stop.
Fed-up parents in Senate push for ban of social media for kids
A group of senators is considering legislation banning social media for children under 13 years old amid growing concerns from parents about the negative impact of social media on children's mental health and well-being.
A group of senators is considering legislation banning social media for children under 13 years old amid growing concerns from parents about the negative impact of social media on children's mental health and well-being.
Facebook failed to protect privacy of children using Messenger Kids app, FTC says
The Federal Trade Commission says Facebook misrepresented the access it provided to app developers to private user data.
The Federal Trade Commission says Facebook misrepresented the access it provided to app developers to private user data.
Some 14 million jobs won't exist globally in 5 years, report says
Here are the jobs that will be most impacted in the years ahead, according to the new report by the World Economic Forum.
Here are the jobs that will be most impacted in the years ahead, according to the new report by the World Economic Forum.
Jada Pinkett Smith says 'Red Table Talk' is looking for 'new home' after Facebook Watch cancellation
A Meta spokesperson said it will be refocusing on original content in virtual reality.
A Meta spokesperson said it will be refocusing on original content in virtual reality.
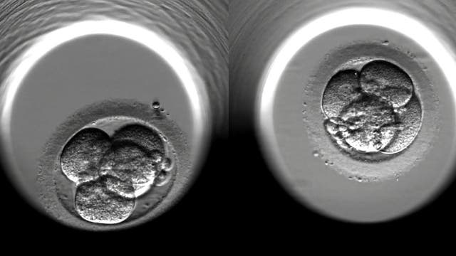
Sperm-injecting robot used to create babies in scientific breakthrough
According to the MIT report, engineers used a Sony PlayStation 5 controller to operate the robot.
According to the MIT report, engineers used a Sony PlayStation 5 controller to operate the robot.
People spent 24% more time on Instagram after launch of AI-powered Reels, Zuckerberg says
People are spending even more time on Instagram due to short-form video content they’re seeing in their feed through AI recommendations, according to Meta CEO Mark Zuckerberg.
People are spending even more time on Instagram due to short-form video content they’re seeing in their feed through AI recommendations, according to Meta CEO Mark Zuckerberg.
Senators look to ban kids under 13 from social media in bipartisan bill
The legislation would also reportedly set restrictions for how tech companies use algorithms on social media to serve minors. Here's what to know.
The legislation would also reportedly set restrictions for how tech companies use algorithms on social media to serve minors. Here's what to know.



















