Falling trees claim 2 lives in a month, less than 5 miles apart
Within a single month, less than five miles apart, falling trees claimed two lives in western Washington.
Within a single month, less than five miles apart, falling trees claimed two lives in western Washington.
NASA's VIPER mission: March 15 is the last day to send your name to the moon
NASA will give people until 11:59 p.m. ET on March 15 to submit their names.
NASA will give people until 11:59 p.m. ET on March 15 to submit their names.
NASA engineers have renewed hope to fix hobbled Voyager 1 after interstellar space data outage
The process of troubleshooting an issue with Voyager 1 traveling through interstellar space is complicated. It takes about 45 hours for commands to be sent and a response to come back, but NASA engineers recently got a new clue to solving the spacecraft computer issue.
The process of troubleshooting an issue with Voyager 1 traveling through interstellar space is complicated. It takes about 45 hours for commands to be sent and a response to come back, but NASA engineers recently got a new clue to solving the spacecraft computer issue.
Study reveals dogs can relieve stress, improve concentration in humans
A recent study published in the journal PLOS One suggests that certain activities might enhance individuals' brainwave patterns linked to rest and relaxation.
A recent study published in the journal PLOS One suggests that certain activities might enhance individuals' brainwave patterns linked to rest and relaxation.
Skagit Valley Tulip Festival 2024: Guide to visiting the farms
Here's a guide to planning your visit to the annual Skagit Valley Tulip festival.
Here's a guide to planning your visit to the annual Skagit Valley Tulip festival.
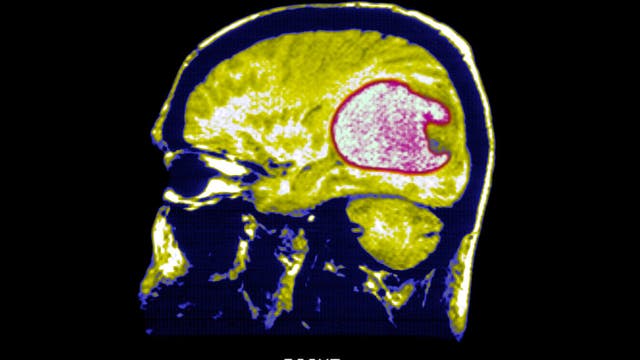
Scientists use new strategy to successfully shrink tumors in early brain cancer trials
Researchers converted immune cells from patients into "living drugs" with the ability to recognize and combat glioblastoma, a form of brain cancer.
Researchers converted immune cells from patients into "living drugs" with the ability to recognize and combat glioblastoma, a form of brain cancer.
SpaceX cleared for third Starship test flight from Texas
Space fans are preparing for the excitement of yet another SpaceX Starship Super Heavy test flight from south Texas.
Space fans are preparing for the excitement of yet another SpaceX Starship Super Heavy test flight from south Texas.
'Devil comet' could become visible to the naked eye this month
Stargazers should check the sky to get a glimpse of 12PPons-Brooks which is heading toward its closest approach to the sun on its 71-year orbit.
Stargazers should check the sky to get a glimpse of 12PPons-Brooks which is heading toward its closest approach to the sun on its 71-year orbit.
Women's History Month special: STEM advice from a FOX Weather meteorologist
Jane Minar currently serves as a meteorologist at FOX Weather.
Jane Minar currently serves as a meteorologist at FOX Weather.
NTSB investigating small plane crash in Oregon that left ‘no survivors,’ authorities say
A small plane crash in a remote area of central Oregon has killed everyone on board, local authorities said Monday.
A small plane crash in a remote area of central Oregon has killed everyone on board, local authorities said Monday.
Experienced surfer recounts 1st shark encounter in Hawaii: 'I was just in shock'
Experienced Hawaiian surfer Matthew White recounts his first shark encounter, despite 30 years of surfing, near Kaimana Beach.
Experienced Hawaiian surfer Matthew White recounts his first shark encounter, despite 30 years of surfing, near Kaimana Beach.
Invasive mussels pose threat to Yellowstone National Park
Because of the park's location, the introduction of invasive mussels could put the currently mussel-free waters in Wyoming, Montana, and Idaho at risk.
Because of the park's location, the introduction of invasive mussels could put the currently mussel-free waters in Wyoming, Montana, and Idaho at risk.
Arizona couple finds rattlesnake in the backseat of the car
The woman thinks she was driving around with the snake in the back of her car for two weeks.
The woman thinks she was driving around with the snake in the back of her car for two weeks.
Women in STEM: NASA administrator says 'come join us'
For the women who find themselves "a little obsessed" with space and wonder if there’s a career in it for you, NASA wants you to "come join us."
For the women who find themselves "a little obsessed" with space and wonder if there’s a career in it for you, NASA wants you to "come join us."
Strong solar flare sent blasting from Sun causing limited radio blackouts
Powerful solar flares can cause high-frequency radio blackouts, which was potentially recorded early Sunday morning.
Powerful solar flares can cause high-frequency radio blackouts, which was potentially recorded early Sunday morning.
Bear gang steals trash can from Connecticut driveway
A trio of bears was up to no good on a Connecticut property.
A trio of bears was up to no good on a Connecticut property.
The April solar eclipse is one month away: What to know now
The next solar eclipse should be visible from most of the U.S. Many people have started preparing already, but many more have not. Here’s what you need to know.
The next solar eclipse should be visible from most of the U.S. Many people have started preparing already, but many more have not. Here’s what you need to know.
Seaquarium where Tokitae died gets evicted by city of Miami
A lease termination was served to the company that runs the Miami Seaquarium (MSQ), the facility where Tokitae, a beloved killer whale that was taken from the Pacific Northwest half a century ago, died in 2023.
A lease termination was served to the company that runs the Miami Seaquarium (MSQ), the facility where Tokitae, a beloved killer whale that was taken from the Pacific Northwest half a century ago, died in 2023.
Fossil of ‘nightmarish’ sea reptile found in Morocco
The giant sea lizard had dagger-like teeth and was just one of the many apex predators hunting our oceans 66 million years ago.
The giant sea lizard had dagger-like teeth and was just one of the many apex predators hunting our oceans 66 million years ago.
SpaceX prepares for third Starship test flight from Texas
Space fans have about a week to prepare themselves for the excitement of yet another SpaceX Starship Super Heavy test flight from East Texas.
Space fans have about a week to prepare themselves for the excitement of yet another SpaceX Starship Super Heavy test flight from East Texas.



















