Sperm-injecting robot used to create babies in scientific breakthrough
IVF Mix-up: Couple sues infertility clinic over wrong embryo
Two California couples gave birth to each others' babies after a mix-up at a fertility clinic and spent months raising children that weren't theirs before swapping the infants, according to a lawsuit filed in Los Angeles.
The future is here.
For the first time, a state-of-the-art new procedure allowed the first human babies to be born using a sperm-injecting robot.
According to MIT's Technology Review, engineers say this new breakthrough in technology could greatly lower the cost of IVF by thousands of dollars.
A remote-controlled needle and a camera were used in the fertility process. The needle penetrated the eggs in a petri dish dropping off a single sperm cell. The robot used in the process helped to fertilize more than a dozen eggs.
"I was calm. In that exact moment, I thought, ‘It’s just one more experiment,’" said Eduard Alba, the student mechanical engineer who commanded the sperm-injecting device.
According to the MIT report, Alba used a Sony PlayStation 5 controller to operate the robot.
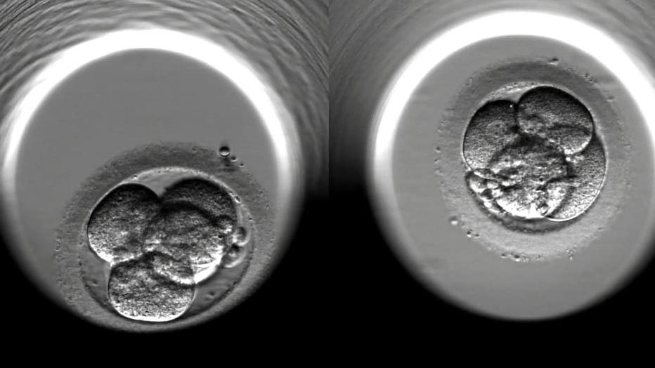
LONDON - 2016: This undated screen grab shows the cell-division of two fertilized human embryos during the first 48 hours of embryonic development following IVF treatment at a private clinic in London. The medical world is marking the 40th Anniversar
Developed by startup Overture Life, engineers say this new process could be the start to cutting costs of the multi-million-dollar IVF operation.
MIT researchers say a single attempt at IVF can cost upwards of $20,000 in the U.S. With a sperm-injecting robot, a patient's eggs could potentially be directed into an automated fertility system.
Approximately half a million babies are born through IVF worldwide every year, but most people looking to have kids can't typically afford the service. The steep cost of IVF and the scarcity of insurance coverage means women getting fertility care are wealthier on average.
"It has to be cheaper. And if any doctor could do it, it would be," offered Santiago Munné, a geneticist who is chief innovation officer at Overture Life.
The company has raised nearly $40 million from investors so far.