Woman eating pork rinds accidentally swallows nail

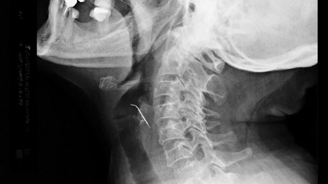
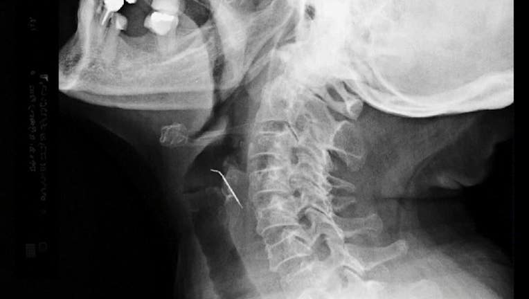
X-ray of nail stuck in throat of patient. (COURTESY: ESSALUD)

A South American woman was rushed to a hospital after an object nefariously made its way into her bag of pork rinds.

Peru resident Celia Tello, 68, was enjoying a snack in February when she felt something sharp hit her throat, according to Reuters.

Tello thought the mysterious object was a bone, but it turned out to be even more unusual: a nail.

The woman soon fell ill and began vomiting blood. After being taken to an emergency room, doctors discovered that the nail was piercing one of her carotid arteries, which help supply oxygen and blood to the brain. 

"It never crossed my mind I had this nail or piece of wire," Tello told Reuters in Spanish.

Surgeon Diego Cuipal explained that a "careful dissection" was done to safely remove the nail from her body. There was a risk of "detaching a clot that could reach the brain," but doctors conducted the surgery successfully.

"We were able to isolate the affected artery and we repaired it by sectioning it and we joined a healthy artery with another healthy artery," Cuipal said in Spanish.

pork-rind-2.jpg

Celia Tello, a 68-year-old resident of Peru, was captured on camera following her surgery to have the nail removed.

Tello's x-ray images showed the nail protruding into her throat. The woman, who now has a neck scar, has healed since then.

It is rare for dangerous objects to make their way into food, but similar incidents have occurred. In 2018, a Culver's customer found a fingernail in his burger — and accidentally ate it.

"It was crunchy, man," Najib Anek said to FOX 8. "I threw up three times."

A year later, a Chipotle customer in Massachusetts bit into his burrito and allegedly hit a nail, which he said chipped his tooth.

Fox News Digital reached out to Tello for a statement.

Reuters contributed to this report.

GET UPDATES ON THIS STORY AT FOXNEWS.COM


 


 

Unusual